Surgery Pricing And Information Overview
We are committed to providing clear and transparent pricing for both hospitals and clients. Surgical costs are tailored to each patient and may vary based on factors such as the species (dog or cat), breed, age, weight, and specific medical needs. Below is a detailed breakdown of what’s included in the base price and any potential additional fees.
Included in the Base Price
Preoperative Care
- Physical Examination
- IV Catheter & Fluids
Anesthesia
- Anesthetic Induction
- Injectable Medications (Anti-Nausea, Antibiotic, Anti-Inflammatory)
- Epidural or Local Anesthesia
- Comprehensive Monitoring (ECG, Heart Rate, Respiratory Rate, End-Tidal CO₂, O₂ Saturation, Blood Pressure, Body Temperature)
Post-Surgical Care
- Recovery Monitoring
- Laser Treatment (if indicated)
Orthopedic Procedures
- Pre-Operative, Post-Operative, & Recheck Radiographs
Follow-Up Care
- Recheck Appointments
Information for Day of Surgery
Please do not feed your pet after 9 PM the night before surgery. Fasting is necessary to prevent food regurgitation under anesthesia, which can lead to serious complications. Water, however, is always okay and does not need to be withheld. If your pet is on pre-medications, please give them as directed. Morning doses can be given with a small treat.
Please note that your pet may not go into surgery first thing in the morning, as we have multiple procedures scheduled throughout the day. Occasionally, life-threatening emergencies may delay our schedule, and we appreciate your patience if this happens. When you pick up your pet, they may still be groggy and will likely need to rest and sleep once they get home.
Thank you for helping us provide the safest care for your pet!
Overnight Care
Most surgical patients will go home the day of surgery but there are occasional situations where it is necessary for a patient to be monitored overnight after a procedure (such as a foreign body removal, splenectomy or a pyometra). All surgical patients are monitored continuously until they are stable and fully recovered from anesthesia, prior to discharge. If your patient is thought to be unstable or high risk, we may recommend transferring to a 24 hour facility for overnight monitoring. If a transfer is recommended, we will coordinate with a nearby emergency hospital but you will be required to transport your pet to the hospital.
Patient Updates
We will contact you when your pet’s procedure is completed and they are in recovery. You are welcome to contact us to check on your pet during the day if you would like. Please make sure you are available to be reached in case the doctor needs to discuss anything with you. Please keep in mind that our HIGHEST priority is giving each patient our undivided attention and making the best decisions for them medically.
Patient Pick-Up
After surgery, our team will call to schedule a pick up time. Pick up times can vary between 2:00 and 6:00 PM. Occasionally we have discharges past operating hours due to the unpredictable nature of veterinary medicine. If a specific time is required, please let our team know at drop off and we will try to accommodate your request.
Our team will meet with each pet owner at pickup to discuss discharge instructions and answer any questions. Written discharges will be sent home with each patient. It is essential that all discharge instructions are read and followed to decrease the chance of surgical complications.
Rechecks
Surgical rechecks can be scheduled at our clinic or with your regular veterinarian. If rechecks are scheduled with your regular veterinarian, we are available for consultation if any questions or concerns arise.
FAQs
What should I expect before surgery?
All surgical patients will receive a pre-surgical examination, preoperative blood work, relevant diagnostics (ultrasound, cytology, biopsy) and pre/post operative imaging (if indicated). We use a multimodal approach to pain control and develop individual anesthetic plans specific to each patient. Our team works closely with pet owners to develop a treatment and surgical plan tailored to each pet. We strive to keep owners informed throughout each stage and will discuss details of surgery, potential complications and post-operative instructions. Your pet’s comfort and safety is our top priority.
What should I expect following surgery?
Surgical rechecks can be scheduled at our clinic or with your regular veterinarian. If rechecks are scheduled with your regular veterinarian, we are available for consultation if any questions or concerns arise.
We expect your pet to be comfortable and eating 12-24 hours after surgery. Your pet may whine or be extremely tired the night after surgery as the anesthesia and pain medications are wearing off. Mild pain is expected following surgery but please reach out if your pet is very painful, not eating (after 24 hours) or you are unable to administer the prescribed medications. We are always available to answer questions throughout the recovery process.
If your pet is experiencing any of the following symptoms – please contact us or visit your local emergency vet as soon as possible:
- Pale gums
- Non-responsive/extreme weakness
- Open incision
- Continuous or excessive bleeding or discharge
- Abnormal discharge from incision (yellow, white, green)
- Bloated abdomen
- Extreme pain
- Seizures
- Persistent vomiting or diarrhea.
Do you accept urgent and emergency surgeries?
Our team is experienced and equipped to handle a variety of surgeries. Urgent and emergency surgeries are scheduled on a case by case basis with a workup and referral from your veterinarian.
What payment options do you accept?
Many medical conditions and injuries occur very suddenly, and we understand this can put a great deal of strain on your family. We strive to provide owners with a more affordable surgical option and multiple different payment options including two options to pay overtime. We currently accept cash, all major credit cards, Care Credit, Cherry Payments, All Pet Card, Scratch Pay and Vetbilling.

Soft Tissue (General) Surgery
Soft tissue surgery is a vital part of veterinary care, addressing a wide range of conditions to improve your pet’s health and comfort. From tumor removal to wound repair and internal procedures, our skilled team ensures your pet receives the highest level of care, using advanced techniques to promote healing and minimize recovery time.
- Neuter
- Ovariohysterectomy
- C-Section
- Pyometra
- Mass Removal
- Feline Thyroidectomy
- Anal Sacculectomy
- Salivary Gland Mucocele
- Hernia Repair

Neuter
The surgical removal of the testicles in male pets. This procedure helps prevent overpopulation, roaming, aggression, prostate disease and certain types of cancer.
Feline: $200
Feline Cryptorchid: $550–$650
Canine: $450
Canine Cryptorchid: $650–$950

Ovariohysterectomy
The surgical removal of the ovaries and uterus in female pets. This procedure helps prevent overpopulation, life-threatening uterine infections (pyometra) and reduces the risk of certain types of cancer such as mammary tumors.
Feline: $400
Canine:
<20 lbs: $450
20–45 lbs: $500
46–80 lbs: $575
80+ lbs: $675

Pyometra
Pyometra is a serious and potentially life-threatening infection of the uterus in intact females. Any female dog that has not been spayed can develop a pyometra, but they are more common in middle-aged to older female dogs who have been through multiple heat cycles. This condition requires emergency surgery to remove the uterus and ovaries.
Feline $1100
Canine $1300

Mass Removal
Mass removals are a very common procedure in veterinary medicine. The details of a mass removal vary widely depending on location of the mass, size of the mass and type of mass. Prior to removal of a mass, your veterinarian may have performed or recommended either a fine needle aspirate or punch biopsy to try and diagnose the mass before removal. Some masses require that we take large margins, meaning removing a few centimeters around the visible mass, for best chances at removing the entire mass. If the mass is suspicious for cancer, your veterinarian may perform additional diagnostics to stage the cancer (or look for spread) via chest x-rays and abdominal ultrasound. Your veterinarian will also recommend that the entire mass be submitted for biopsy. This will both confirm the diagnosis and tell us if the entire mass was removed.
Extra Small (<1 cm): $250
Small (1–3 cm): $500
Medium (3–6 cm): $750
Large (6–10 cm): $1,000
Extra Large (>10 cm): $1,250+
Axial Pattern Flap: $2,250
Sarcoma: +$200
Mast Cell Tumors: +$250
Lipoma
Small Lipoma (0–5 cm): $300
Medium Lipoma (5–10 cm): $400
Large Lipoma (10–15 cm): $500
Extra Large Lipoma (>15 cm): $650

Feline Thyroidectomy
A feline thyroidectomy is a surgical procedure involving the removal of one or both thyroid glands in cats. This treatment is commonly used to manage hyperthyroidism, a prevalent condition in older cats where the thyroid gland produces excessive hormones. It may also be performed to address certain cases of thyroid cancer.
$800

Anal Sacculectomy
Anal gland removal surgery – removal of one or both of your pet’s anal glands to provide relief from infections, abscesses, blockages, or tumors. Surgically removing the anal glands has no impact on your pet’s overall health, and your pet will be able to live a less painful life without experiencing any adverse side effects.
Unilateral $1000
Bilateral $1500

Salivary Gland Mucocele
A salivary mucocele, or sialocele, is a collection of saliva that has leaked from a damaged salivary gland or salivary duct and has accumulated in the tissues. This is often noted as painless swelling of the neck or within the oral cavity. Medical management is not often effective and surgical treatment is often required for resolution. Surgical treatment involves removal of the mandibular and sublingual glands on the affected side.
$1500

Hernia Repair
A hernia is caused by trapping of tissue between torn muscle and skin causing a pouch. They are most commonly located at the umbilicus (belly button area), inguinal area (groin), perineal (next to the rectum), or in the diaphragm (the muscle between the chest and the abdomen) although they can occur anywhere there is muscle. They can be congenital (born with it) or traumatic (caused by trauma). All hernias are repaired by replacing the tissue back where it belongs and closing the hole in the muscle.
Umbilical: +$250 (Add-on to original surgery only)
Inguinal:
Unilateral: $900
Bilateral: $1,450
Diaphragmatic: $1,750
Perineal:
Unilateral: $1,250
Bilateral: $2,000

Urinary Surgery

Episioplasty/Vulvoplasty
Vulvoplasty, also known as episioplasty, is a surgical procedure that your veterinarian may recommend to correct a conformational issue known as a recessed, or hooded, vulva. This procedure involves removing the excess skin around the vulva. Dogs with a hooded vulva have skin folds that hang over the vulva, trapping moisture and bacteria. This can lead to recurrent urinary tract infections, skin irritation and infections.
Alone: $850
Add-on: $600 (Add-on to original surgery)

Cystotomy
A cystotomy is the medical term for opening the urinary bladder to remove either stones or a growth. Urinary bladder stones in dogs and cats are commonly caused by chronic low grade urinary tract infections and/or the way your pet metabolizes the mineral contents of its food and water.
Alone: $1,000
With Urethrotomy: $1,500
With Scrotal Urethrostomy: $1,750

Perineal Urethrostomy
This procedure is most often performed in male cats with a history of urinary obstruction. Urinary obstruction is a common, life-threatening disorder in male cats in which they are unable to urinate. This can result in toxin build up, acute kidney injury and heart arrhythmias. In cats with bladder stones that can be flushed into the bladder, a cystotomy is performed to remove the stones. If a cat has multiple occurrences that cannot be unblocked or managed medically, the next step is a perineal urethrostomy (“PU”), or surgical widening of the urethra. This procedure is intended to provide a permanent opening that allows crystals, mucus plugs, or small stones to pass out of the urethra, thus minimizing the chance of re-obstruction.
$1750

Ocular Surgery

V-Lid Resection (Eyelid Mass)
Eyelid tumors in dogs are very common, especially in older dogs. The majority of these eyelid tumors are non-cancerous and many times they occur on the glands that line the eyelid margins.
$650

Enucleation
Enucleation surgery is indicated when an eye is painful or infected and vision can’t be saved. Some of the indications for enucleation are end-stage glaucoma, severe corneal or scleral laceration with loss of intraocular contents, unresponsive painful dry eye with corneal scarring, severe proptosis with extraocular muscle avulsion, progressive intraocular tumors not involving the sclera, blinding unresponsive infectious or inflammatory uveitis.
Unilateral $850
Bilateral $1350

Cherry Eye
A prolapsed gland is the most common disorder of the third eyelid in dogs. It is commonly referred to as a cherry eye because the prolapsed gland appears as a red mass that protrudes from behind the third eyelid. Prolapsed gland of the third eyelid is more common in young dogs and is overrepresented in some breeds, including American cocker spaniels and English bulldogs.
Unilateral $800
Bilateral $1200

Entropion
Entropion is a rolling-in of the eyelid. This causes the hair on the surface of the eyelid to rub on the eyeball, which is both painful and often causes corneal ulcers or erosions. The corneal damage can also result in corneal scarring, which can interfere with vision.
$600

Airway Surgery
We offer specialized airway surgeries to help pets breathe easier and improve their quality of life. Our experienced team provides compassionate care tailored to your pet’s needs.

Brachycephalic Obstructive Airway Syndrome
The term Brachycephalic Syndrome refers to the combination of an elongated soft palate, stenotic nares, and everted laryngeal saccules, all of which are commonly seen in breeds such as the English bulldog, French bulldog, Pug, Pekingese, and Boston terrier. Soft palate resection is performed using a scalpel blade, scissors, or CO2 laser. If the laryngeal saccules are everted, they may be removed at the same time as the soft palate resection, or they may be left in and allowed to return to a more normal position. Correction of stenotic nares, if present, helps improve breathing and is done at the same time.
Stenotic Nares and Elongated Soft Palate $1450
Stenotic Nares Only $600
Elongated Soft Palate Only $850
Everted Laryngeal Saccules – Add $400

Gastrointestinal Surgery
We specialize in advanced gastrointestinal surgeries to address a variety of issues in pets, from foreign object removal to managing chronic conditions. Our skilled team ensures your pet receives compassionate care, using the latest techniques to promote healing and a swift recovery.

Biopsies – liver, intestinal, abdominal lymph node
Biopsies are often indicated for definitive diagnosis of inflammatory bowel disease, hepatopathy (liver disease) or certain tumors.
$1,500
Splenectomy
A splenectomy is the surgical removal of the spleen. This is most commonly performed for removal of splenic masses but is also indicated for treatment of splenic trauma or torsion. Splenic tumors are vascular and can rupture, causing blood to leak into the abdomen. A splenectomy is the only way to treat ongoing blood loss secondary to these conditions. If a tumor is present, removal of the tumor allows for diagnosis of the specific tumor to determine the best course of treatment. Splenic masses can spread to other parts of the body and a chest x-ray and/or abdominal ultrasound may be recommended to look for spread prior to surgery.
$2000

Abdominal Exploratory – General/Foreign Body
Foreign body obstruction is one of the most common and potentially life-threatening conditions in veterinary medicine. While many foreign objects pass through the intestinal tract without issue, an obstruction requires immediate attention, often necessitating surgical removal. Obstructions can occur anywhere along the gastrointestinal tract. In some cases, foreign objects in the stomach can be removed using endoscopy. However, most obstructions require abdominal surgery, which involves making an incision in the abdomen to access and examine the internal organs. This procedure is commonly performed to remove tumors, retrieve foreign objects from the stomach or intestines, or collect biopsies from internal organs.
Base Surgery: $1,500
Gastrotomy and/or Enterotomy: Add $300–$600
Resection and Anastomosis: Add $500

Nephrectomy
Nephrectomy is the surgical removal of the kidney and its associated ureter. This surgical procedure is used to treat conditions of the kidney and ureter including trauma to the kidney and/or ureter, cancer, ureteral abnormalities and persistent infection. Prior to removal of the affected kidney, the health of the kidney not being removed must be assessed. If cancer is suspected, a full staging will be recommended to determine the extent of spread throughout the body.
$3250

Gastropexy
Gastric Dilatation and Volvulus (often called “GDV” or “bloat”) is a life-threatening condition in which the stomach fills with air and twists upon itself. The stomach then compresses the major vessels in the abdomen causing secondary shock. GDV occurs most commonly in large deep-chested dogs, although all dogs are at risk. One of the best ways to prevent an at-risk dog from developing GDV, is by performing a prophylactic gastropexy. This is a surgical procedure which involves surgically attaching the stomach to the body wall, thus preventing it from twisting.
$1000 alone
$800 (add-on to original surgery)

Orthopedic Surgery
We offer specialized orthopedic surgeries to help pets regain mobility and live pain-free. From fracture repairs to joint procedures, our skilled team provides expert care tailored to your pet’s needs.
- Limb Amputation
- Digit And Tail Amputation
- Hip
- CCL - TPLO
- Medial Patellar Luxation
- Fracture Repair
- Arthrodesis

Amputation – Forelimb/hindlimb
Your pet having to have a leg amputated can be alarming. Generally, amputation offers immediate pain relief, as post-surgical pain pales in comparison to the pain of leg cancer or trauma to the leg. There are several different reasons a pet may need to have a leg amputated. Birth defects, neurologic disease, or most commonly, cancer or trauma in the leg. All sizes of pets can recover well and go on to live a happy life after having a leg amputated.
Canine
Under 25 lb $1100
26-40 lb $1250
41-65 lbs $1750
65-90 lbs $2000
>90 lbs $2250
Feline
$900

Digit And Tail Amputation
It is a difficult decision to choose amputation on your dog as a form of treatment. Toe or tail amputation may be the recommended treatment for certain severe conditions, traumas, fractures and deformities, when other treatments fail. Your dog can live a pain free quality life while compensating well without the affected toe or tail.
Tail amputation
$750
*Screw tail amputation not performed.
Digit amputation
Phalanges $1000
Metatarsal or metacarpal $1750

Hip – Femoral Head Osteotomy
A proper orthopedic exam and x-rays are required to make the definitive diagnosis and recommendation for an FHO. Pets need an FHO because of congenital birth defects such as hip dysplasia or Legg Calve Perthes disease, hip luxation, or trauma. An FHO involves removing the femur that connects with the hip bone so that the 2 bones do not rub together and cause severe pain. It is a procedure to relieve pain. It does not replace the hip joint and it is removed altogether. The resulting joint will be a “pseudo-joint” and will perform all the functions of the previous hip joint without the pain and arthritis.
Feline – $1000
Canine –
Under 15 lbs $1250
15-30 lbs $1500
30-50 lbs $1750
50-75 lbs $2000
75-100 lbs $2250
>100 lbs 2500

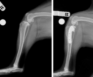
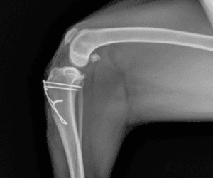
Cranial Cruciate Ligament Repair
The TPLO (Tibial Plateau Leveling Osteotomy) surgery has become one of the most common and effective orthopedic surgeries performed on dogs who have torn their cranial cruciate ligament. The philosophy behind the TPLO surgery is to completely change the dynamics of the dog’s knee so that the torn ligament becomes irrelevant to the stability of the knee itself. When a dog tears its ACL, every time the dog stands or puts weight on the leg, the femur slides/rubs on the back of the tibia. This rubbing causes pain and inflammation, which is very uncomfortable. This is why most dogs with a torn ACL will not put any weight on the leg, or if they do, they will just toe touch the leg to the ground. TPLO surgery works by altering the biomechanics of the knee, shifting the forces to the caudal cruciate ligament and eliminating the need for the ACL. The tibia osteotomy allows the tibial plateau to be rotated, then secured with a bone plate and locking screws that are sized for each individual pet. The new tibial plateau angle provides immediate stabilization to the knee and most patients are walking on the affected leg at or soon after discharge from the hospital.
Lateral Suture – $1750
Orthosta/Tightrope $2500
TPLO $3700
+$250 >100 lbs

Medial Patellar Luxation
Medial patellar luxation is a condition where the patella (knee-cap) does not stay in its normal position in the groove on the end of the femur (thigh bone) and will pop-out, or luxate, to the medial (inside) surface of the knee. This is a common condition in smaller breed dogs but can occur in any breed. Surgical correction often involves deepening of the trochlear groove, realignment of the patellar tendon and soft tissue reconstruction.
$2250


Fracture Repair
Unfortunately, just like people, fractures (broken bones) are common in both dogs and cats. There are many different types of fractures and pre-operative assessment of radiographs is essential to plan the specific surgical fixation required. Although fractures can be traumatic for both pets and their owners, with proper stabilization and postoperative care, fractures will heal and the pet can return to normal.
$2500-3500
Tibia – $3000
Femur – $3250
Radius/Ulna – $2750
Humerus – $3500
Femur Physeal Fracture – $2750
Tibial Tuberosity Physeal Fracture – $2500
Humeral Physeal Fracture – $3500

Arthrodesis – Pancarpal, Pantarsal, Elbow
Arthrodesis is a surgical procedure that fuses a joint to relieve pain and enhance stability. It is most commonly performed for chronic pain caused by degenerative joint disease or arthritis but may also be necessary when a joint loses stability due to trauma or injury. During the procedure, the cartilage is removed, and a stabilizing plate is placed to support the joint as it naturally fuses over the following weeks. This fusion not only reinforces the joint but also alleviates pain, allowing your pet to move more comfortably.
- $3250



